COVID-19 Update: We are open with up-to-date safety procedures and guidelines. LEARN MORE ×

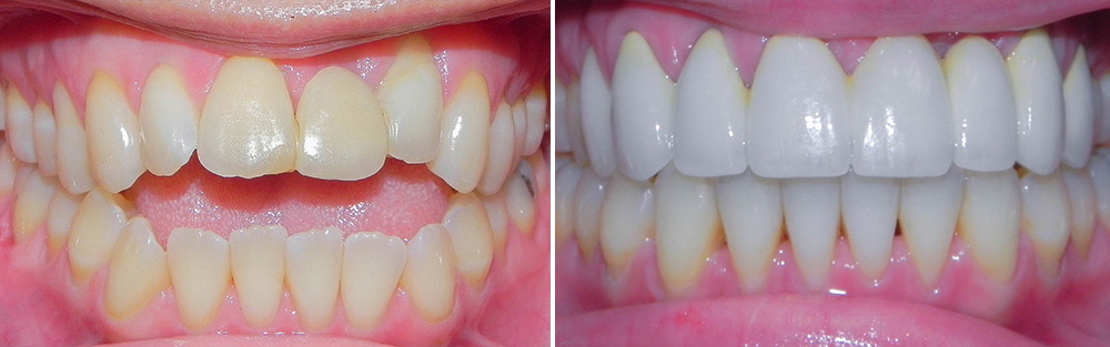
Incredible results and inspiring journeys: See some of our patients’ before and after photos the next time you visit our practice.

before and after before and after before and after before and after before and after before and after before and after before and after before and after before and after

Your smile journey
starts here

× YOUR BEAUTIFUL, CONFIDENT SMILE STARTS HERE
Book a free in-office or virtual consultation. GET STARTED